
काठमाडौं ।
एउटा नयाँ अध्ययनमा सहभागी अधिकांशले खराब निद्रापछिको एक रातपछि ध्यान केन्द्रित गर्न गाह्रो हुने अनुभव गरेका छन्। यस्तो थकान महसुस हुँदा दिमागभित्र के हुँदै छ भन्ने अध्ययनले देखाएको छ।
अध्ययन अनुसार, जब कुनै व्यक्ति निद्राभर जागा बस्छ र मन कहीं-कहीं भर्याङझैँ खाली हुन्छ, त्यतिबेला दिमाग वरिपरि रहेको र फोहोर पदार्थ हटाउने काम गर्ने सेरेब्रोस्पाइनल फ्लुइड (सीएसएफ) दिमागबाट बाहिर निस्कन्छ।
तर व्यक्तिको चेत फर्किनेबित्तिकै यही सीएसएफ फेरि दिमागभित्र फर्किन्छ। यो अध्ययन अक्टोबर २९ मा नेचर न्यूरोसाइन्स पत्रिकामा प्रकाशित भएको हो।
अध्ययनमा भनिएको छ कि यस्ता थकान-प्रेरित ध्यान भंग हुने अवस्थामा रगत प्रवाह र आँखाको नानीको आकारमा पनि ठूलो परिवर्तन देखिन्छ। अहिलेसम्म यी शारीरिक प्रतिक्रियाहरू एकैसाथ हुने कुरा थाहा भएको थिएन।
अध्ययन सह-लेखिका तथा एमआईटीकी न्यूरोसाइन्स प्रोफेसर लौरा लुइसले लाइभ साइन्स लाई भनेकी छिन्, “हामीले एकैपटक धेरै प्रकारका दिमाग सम्बन्धी जानकारी मापन गर्न सकेका कारण पहिले अलग-अलग जस्ता लाग्ने धेरै कुराहरू वास्तवमा एउटै तरल ढङ्गमा चलिरहेको देख्यौं।”
स्वस्थ दिमागका लागि नियमित निद्रा अत्यन्त आवश्यक मानिन्छ, र विशेषज्ञहरूले वयस्कहरूले दैनिक ७ देखि ९ घण्टा सुत्न सुझाव दिएका छन्। पर्याप्त निद्रा नपुग्दा मानसिक तथा शारीरिक स्वास्थ्य दुवैमा असर पर्छ र ध्यान केन्द्रित गर्ने क्षमता पनि कमजोर हुन्छ।
“तर निद्रा अभावले ध्यान भंग हुने प्रक्रियाको न्युरल आधार अझै स्पष्ट छैन,” अध्ययनले उल्लेख गरेको छ।
यसका लागि १९ देखि ४० वर्ष उमेरका २६ जना स्वस्थ स्वयंसेवक सहभागी गराइएका थिए, जसमा १९ जना महिला थिए। उनीहरूले करिब १० दिनको अन्तरमा दुई अवस्थाको परीक्षण गरे—पर्याप्त आराम पाएर र निद्रा नपाईकन। आधाले पहिले ‘राम्रोसँग सुतेको’ अवस्था परीक्षण गरे भने बाँकीले ‘निद्रा नपाएको’ अवस्थाबाट सुरु गरे।
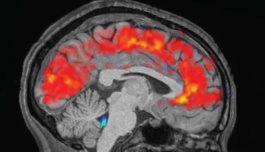
आराम पाएका व्यक्तिहरूले घरमै ६.५ देखि ९ घण्टा सुत्ने अनुमति पाए भने निद्रा-विहीन समूहलाई प्रयोगशालामा रातभर जागा राखियो। प्रत्येक परीक्षण सुरु हुनु अघि सहभागीहरूलाई ईईजी क्याप लगाइयो जसले इलेक्ट्रोडको सहयोगले दिमागका तरङ्गहरू नाप्थ्यो।
सोही समयमा एफएकआरआई स्क्यानमार्फत रगत तथा सीएसएफको प्रवाह हेर्ने काम गरियो। आँखाको मुन्टोको आकार मापन गर्न ‘आई-ट्राकर’ प्रयोग गरियो।
त्यसपछि सहभागीहरूले चित्र देखिएपछि वा आवाज सुनेपछि तुरुन्त बटन थिच्ने दृश्य तथा श्रव्य ध्यान परीक्षण पूरा गरे। उनीहरूलाई २५ मिनेटसम्म कुनै काम नगरी केवल आराम गराइयो ताकि आधारभूत दिमाग गतिविधि नाप्न सकियोस्।
अपेक्षा अनुसार, थाकेका व्यक्तिहरूले संकेत देख्न ढिलो गरे र धेरै पटक संकेत छुटाए। तर अनुसन्धानकर्ताहरूले थकित व्यक्तिहरूमा सीएसएफका अत्यन्त ठूलो तरंग (पल्स) देखे, जुन सामान्यतः नन रेम अर्थात् शान्त र आरामयुक्त निद्रामा मात्र देखिने सुस्त दिमागी तरङ्गसँग मेल खाने खालका थिए।
यी ढाँचाहरू एन१ बाट एन२ चरणतर्फ सारिँदा देखिने तरङ्ग जस्तै थिए—नन रेम निद्राका प्रारम्भिक दुई चरण। “यस परिमाणका सीएसएफ तरंग हामीले पहिले केवल निद्रामा मात्र देखेका थियौं,” लुइसले भनिन्।
सीएसएफ प्रवाह आँखाको मुन्टोको आकारसँग नजिकबाट सम्बन्धित देखियो—मुन्टो फराकिलो हुँदाखेरि दिमागभित्र सीएसएफ छिर्ने र मुन्टो साँघुरो हुँदा बाहिर निस्कने।
निद्रा अभाव भएका व्यक्तिमा यो सम्बन्ध अझै प्रबल थियो, जसले शरीरको परिसंचरण प्रणालीले यो प्रक्रियामा ठूलो भूमिका खेलिरहेको संकेत गर्छ। सीएसएफ को यो प्रवाह सहभागीहरूका ध्यान भंग हुने क्षणसँग पनि मेल खाएको पाइएको छ।
अध्ययनका प्रमुख लेखक एमआईटीका कम्प्युटेशनल न्यूरोसाइन्स शोधकर्ता जिनोङ याङले भने, “जब ध्यान भंग हुन्छ, दिमागबाट यो तरल बाहिर निस्किरहेको हुन्छ, र फेरि तपाईंको ध्यान फर्किँदा तरल दिमागभित्र पसिरहेको हुन्छ।” लुइसले थपिन्, “ध्यान दिने क्षमताजस्ता कुरा र दिमागभित्रको आधारभूत तरलको चालचलन एकै समयमा यति नजिकबाट जोडिएको हुन्छ भन्ने हामी सामान्यतः सोँदैनौँ।”
अनुसन्धानकर्ताहरूको धारणामा निद्रा-विहीन दिमाग कहिले काँही जागै रहेको अवस्थामा पनि निद्राजस्तै तरङ्ग प्रक्रियामा प्रवेश गर्न थाल्छ। ध्यान भंग हुने क्षण यी निद्राजस्तै प्रक्रियाको सुरुको संकेत हुनसक्छ तर वास्तविक निद्रा लाग्नुअघि नै यो प्रक्रिया रोकिन्छ।
तर रगत प्रवाहमा देखिएका अत्यन्त ठूलो परिवर्तनको कार्यात्मक कारण अहिलेसम्म स्पष्ट नभएको लुइस बताउँछिन्। भविष्यमा यो ढाँचाले दिमागबाट विषाक्त पदार्थ हटाउने प्रक्रियामा कसरी प्रभाव पार्छ भन्नेबारे थप अध्ययन आवश्यक छ।
यस अध्ययनमा संलग्न नरहेका सिङ्गापुर नेसनल युनिभर्सिटीका निद्रा विशेषज्ञ माइकल चीले अनुसन्धानलाई “उत्कृष्ट शारीरिक अध्ययन” भने। उनको भनाइमा, यी संकेतहरू स्वचालित शरीर प्रणालीले चलाइरहेको हुनसक्छ।
उनले भने, “हामीले खासै ध्यान नदिने यो स्वचालित प्रणाली नै वास्तवमा आँखाको मुन्टो, ईईजी तथा एफएमआरआई संकेतहरूमा देखिने सबैभन्दा ठूलो परिवर्तनहरूको संयोजक रहेछ।”
अध्ययनमा सहभागीहरूलाई २४ घण्टासम्म निदाउन दिइएको थिएन, जुन अधिकांश मानिसले सामान्यतया भोग्ने निद्राको कमीभन्दा धेरै कडा अवस्था भएकोले प्रभाव पनि असामान्य रूपमा ठूलो देखिएको हो,” उनले भने।
उनका अनुसार यस्ता दिमागीय परिवर्तनहरूलाई निद्रा सम्बन्धी समस्या भएका व्यक्तिहरूमा अध्ययन गर्दा नयाँ उपचार उपायहरू पत्ता लाग्न सक्छन्।
प्रकाशित: २९ कार्तिक २०८२, शनिबार